CARO ESTUDANTE!
Seja bem-vindo à atividade MAPA (Material de Avaliação Prática de Aprendizagem) da disciplina de Embriologia e Histologia.
Instruções iniciais:
1- Utilize o modelo de MAPA padrão para realizar esta atividade e siga todas as instruções constantes nesse modelo. Ele se encontra em “Material da Disciplina”.
2- Assista ao vídeo com as instruções para a realização do MAPA, que estará na “Sala do Café”.
A demora entre a percepção dos sintomas e o desfecho final de doenças degenerativas é um problema relevante que vem sendo analisado há muitos anos em diversos países do mundo.
Estudos recentes determinaram que o tempo médio para se concluir um diagnóstico de uma doença degenerativa é de 10 a 15 semanas. Isso faz com que muitas vezes o paciente seja exposto a tratamentos desnecessários, e que podem até piorar o quadro da doença.
Por isso, exames histológicos se fazem extremamente necessários. Através da análise da morfologia das células, é possível definir um diagnóstico e um tratamento mais preciso, levando a uma melhora na qualidade de vida do paciente.
Nossa atividade MAPA retrata um caso clínico, cuja prevalência da doença estudada é de 4 a 6/100.000 pessoas:
João, de 55 anos, relatou o início de fraqueza no pé direito, que progrediu ao longo do membro inferior e se estendeu para o lado esquerdo. Essa fraqueza estava associada a cãibras frequentes e se desenvolveu gradualmente. Além disso, ele mencionou uma perda de peso significativa devido à dificuldade de deglutição. Procurou atendimento médico devido à dispneia que ocorria mesmo com esforços mínimos nos últimos meses. No exame físico, foi observada fraqueza muscular com sinais de atrofia muscular distal em membros superiores e inferiores, presença de espasmos musculares, porém sensibilidade preservada. Com base na história clínica, houve suspeita de Esclerose Lateral Amiotrófica (ELA), cujo diagnóstico foi posteriormente confirmado por meio de eletroneuromiografia (ENMG). Exames de ressonância magnética das colunas cervical e torácica revelaram uma extensa lesão sugerindo degeneração de neurônios motores, com sinais de denervação em várias regiões musculares. O paciente progrediu para uma condição de plegia nos membros inferiores e tornou-se incapaz de deglutir, necessitando de uma gastrostomia endoscópica. Ele recebeu acompanhamento de uma equipe multiprofissional, mas acabou requerendo ventilação mecânica e, infelizmente, veio a óbito após alguns meses de internação.
Fonte: adaptado de: PEZZI, L. A. H. et al. Anatomia clínica baseada em problemas. São Paulo: Grupo GEN, 2011.
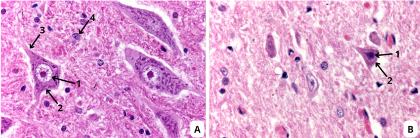
Agora observe as imagens a seguir, lâminas histológicas coradas em Hematoxilina e Eosina (HE), da medula espinal de um paciente normal (sem a doença – A) e um paciente com ELA (B). Aqui é importante observar que as duas imagens apresentam o mesmo aumento ao microscópio óptico.
Figura 1 – (A) Apresenta uma imagem de um paciente saudável; (B) paciente com ELA
Fonte: https://anatpat.unicamp.br/bineuela2.html. Acesso em: 6 fev. 2024.
Com base em todas essas informações e nas imagens histológicas, responda às seguintes questões:
a) Observando a Figura 1, que representa um corte histológico de uma pessoa saudável, IDENTIFIQUE todas as estruturas observadas em 1, 2, 3 e 4 e DETALHE a função de cada uma delas.
b) Comparando a imagem B com a imagem A, DESCREVA as diferenças celulares entre elas.
c) ESPECIFIQUE qual é o formato de um neurônio, se existem outros tipos (utilize classificação morfológica) e onde são encontrados.
d) EXPLIQUE o que é um neurônio motor e, se existirem outras classificações, qual a função de cada uma.
e) No caso clínico relatado nesta atividade, o paciente apresentou atrofia muscular. DETALHE qual tipo de músculo foi acometido no caso clínico e como o neurônio motor faz sinapse com a fibra muscular. EXPLIQUE o que ocorre nessa região de contato.
Para elaborar sua resposta, você pode consultar artigos científicos e livros de histologia e patologia, disponíveis tanto na internet quanto na biblioteca da Unicesumar. Seguem algumas referências que poderão servir de auxílio para elaborar as respostas:
– SILVA, C. G. da. Embriologia e Histologia. Maringá-PR: UniCesumar, 2023
– BERTAZZI, R. N. et al. Esclerose Lateral Amiotrófica. Revista de Patologia do Tocantins, v. 4, n. 3, p. 54-65, 2017.
– JUNQUEIRA, L. C.; CARNEIRO, J. Histologia básica: texto e atlas. 14. ed. São Paulo: Grupo GEN, 2023.
ALGUMAS ORIENTAÇÕES FINAIS
Sobre o arquivo a ser enviado:
→O arquivo deve ser enviado única e exclusivamente pelo seu Studeo, no campo “M.A.P.A.” desta disciplina. Toda e qualquer outra forma de entrega deste Modelo de Resposta MAPA não é considerada. Apenas o formato de PDF será aceito.
→SOMENTE UM ARQUIVO PODE SER ANEXADO NO STUDEO.
→A qualidade do trabalho será considerada na hora da avaliação, então faça tudo com cuidado, responda à demanda adequadamente e mostre sempre o seu raciocínio de modo claro e direto.
Problemas frequentes a evitar:
→ Coloque um nome simples no seu arquivo. Se o nome tiver caracteres estranhos (principalmente pontos) ou for muito grande, a equipe de correção pode não conseguir
abrir o seu trabalho, e ele pode ser zerado.
→ Se você usa OPEN OFFICE ou MAC, transforme o arquivo em .pdf para evitar incompatibilidades.
→ Verifique se você está enviando o arquivo correto! Identifique o arquivo com o seu primeiro e último nome e a disciplina, para evitar que você troque o arquivo na hora de anexar. Exemplo: MAPA_Bromatologia_CarolSouza.pdf.
Como enviar o seu arquivo:
→ Ao final do enunciado desta atividade, no Studeo, tem uma caixa de envio de arquivo. Basta clicar e selecionar sua atividade, ou arrastar o arquivo até ela.
→ Antes de clicar em FINALIZAR, certifique-se de que está tudo certo, pois uma vez finalizado você não poderá mais modificar o arquivo. Sugerimos que você clique no link gerado da sua atividade e faça o download para conferir.


